1.一般換牙年紀約在6~12歲,因為考慮到矯正期太長時,如果小孩清潔做不好會造成齒面脫鈣,蛀牙率提高,所以並不鼓勵太早做矯正,最好等到12歲以後所有牙齒都換好了,生理年齡也較成熟時再一併進行矯正。但在某些案例,為了將來矯正的成效或牙弓型態等等理由也可能會先做一次短時程的矯正,但並不排除將來所有牙齒換好之後依照患者狀況,再度進行第二次完整的矯正治療。
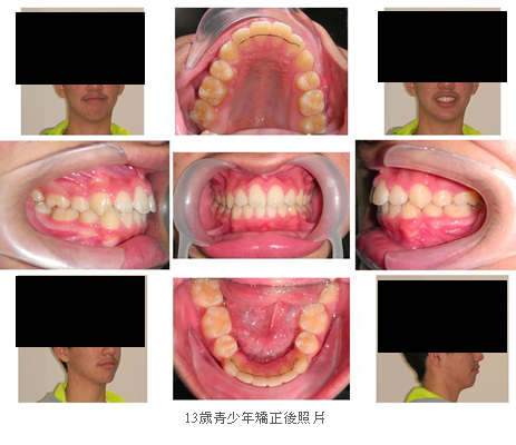
正面觀
上牙弓
下牙弓
如果孩子有矯正方面的需要,且患者合作度夠,在進入國一階段 約12歲大臼齒萌出後,建議可以開始考慮全口矯正治療。
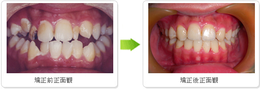
矯正的好處,除了可以得到整齊美觀的牙齒排列,使患者在面對人群更有自信外, 更重要的是對患者口腔衛生的維護會更好。如果患者有許多蛀牙或牙周問題, 在接受矯正治療後,一般都會使蛀牙率降低。牙周健康更好。 以下是19歲少年,因牙齒排列不整,右上側門齒嚴重蛀牙,左上側門齒畸形, 有上犬齒阻生又有中線偏移和齒質不良、高蛀牙率且口腔衛生不好等問題。 經矯正治療,再施以一般牙科蛀牙填補,不只利用犬齒巧妙取代側門齒,永久解決將來側門齒可能因蛀牙拔除等的假牙問題,患者也因牙齒排列整齊,更有意願維持良好的口腔狀態,展現自信笑容。
患者常會問:什麼時候是必較好的矯正時機? 基本上除了特殊情形,建議在所有乳牙皆更換完,且12歲大臼齒〈即第二大臼齒〉已完全萌出,還有患者的心智年齡成熟,合作度夠,即可進入矯正治療的程序。這樣的年齡大概是12~15歲左右,當然還要請牙醫師就個人做專業的評估。 為什麼這樣說呢? 雖然矯正沒有太大的年齡限制,但成人矯正常面臨最大的困難就是: 該拔的牙很完整,不該拔的牙蛀光了。 至使在下治療計畫時不得不妥協於現實的難處,因而相對也影響矯正的完整性。 再者,成人矯正常面臨的" Black Space "的問題,再青少年必較不會出現。 PS‧何謂" Black Space "? Ans‧牙齦本來就會隨年紀增長而退縮,成年矯正在牙齒很亂的位置經排列整齊後常會出現牙縫很大的情形,稱之為" Black Space ",只能利用修磨一些些牙齒的鄰接面來盡量掩飾。
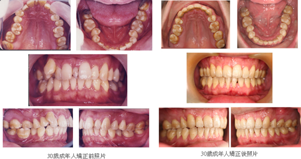
上面的案例為13歲青少年開始矯正治療,比較下例為30歲才開始矯正治療。 上案例即便原來牙齒排列很亂,但完成後牙齦的狀況還是很完整。 下案例因原本就有輕微的牙周問題,經兩年時間的矯正治療,因口腔衛生未能維護良好,可見有輕微牙齦退縮的現象。
成人矯正常會碰到想要拔的牙齒狀況很好,不想拔的牙齒條件很差或已經被拔掉了,所以在制定矯正計畫時需一併將這些因素考慮在內。
以下這個案例我覺得矯正不只可以將他不整齊的牙齒排列整齊,大大改善美觀和將來牙齒的清潔,更重要的是因為患者下顎兩側第一大臼齒缺牙,本來不是要植牙就是『缺一顆、做三顆』做兩副牙橋,利用矯正正好將缺牙空間關閉,不只大大節省了做假牙的費用,更不用煩惱『如何做假牙』了。
PS‧在適當的時機利用矯正也可以有效的利用尚未成長的智齒來取代已經蛀掉需要被拔除的大臼齒,就長遠的觀點,患者就不用去煩惱將來的假牙問題了。在費用的考量上更值得這樣做,因為植牙的費用幾乎和做矯正相差無幾,而矯正又同時改善了牙齒的排列與美觀,可謂一舉數得。
